インプラントについて
もう一度、しっかり噛める毎日へ
歯を失ってしまった部分を補う方法として、見た目の自然さと噛む力の回復を両立できるのがインプラント治療です。当院では、カウンセリングから治療後のメンテナンスまで一貫して対応し、安心して治療に臨める環境を整えています。さいたま市・浦和駅近くで、入れ歯やブリッジ以外の選択肢をお探しのかたは、まずはお気軽にご相談ください。精密な診断と丁寧なご説明いたします。
こんな場合はご相談ください
- 歯を失ったまま放置している
- ブリッジにしたくない
- 入れ歯が合わない
- 骨が足りないと言われた
- しっかり噛めない
- インプラントの費用が気になる
- インプラントが不安
- 見た目が自然な歯にしたい
当院のインプラント
不安や疑問を解消するために
インプラント相談を実施
インプラント治療は期間や費用、術後の管理など、気になることが多い治療の一つです。当院では、初めてのかたにも安心してご相談いただけるよう、インプラント相談を行っています。治療内容や流れ、適応の可否などを丁寧にご説明し、ご納得いただいたうえで治療を検討していただけます。無理なご提案はいたしませんので、まずはお気軽にご相談ください。
治療実績
2,400本以上
※1995年~2025年
専門知識と経験を持つ歯科医師が
対応するインプラント治療
当院のインプラント治療は、国際口腔インプラント学会(DGZI Japan)認定医であり、日本口腔インプラント学会にも所属する歯科医師が担当します。専門性に基づいた診断と、安全性を重視した治療計画により、長期的な安定を目指したインプラント治療をご提供しています。難症例にも対応できる知識と技術で、患者さん一人ひとりに合った治療をご提案します。
精密な診断と安全な手術を
支える先端設備を導入
インプラント治療の成功には、精密な診察・診断と安全な手術環境が欠かせません。当院では歯科用CTを用いた立体的な診断を行い、より正確な位置にインプラントを埋入しています。見えない部分の情報も可視化することで、高精度で安心感のある治療を実現しています。
歯科用CT
世界的に信頼される
ストローマン社製
インプラントを採用
当院では、世界70ヵ国以上で使用されているストローマン社製のインプラントを採用しています。高い生体親和性と長期的な安定性が実証されており、世界的にも信頼されているインプラントシステムです。治療後の骨との結合がスムーズで、噛む力の回復や見た目の自然さにも優れており、将来を見据えた選択肢として質の高いインプラント治療をご希望のかたにおすすめです。
安心の
10年保証付き
万が一に備えた保証制度で治療後も安心
インプラント治療後も長く安心して使っていただけるよう、当院では保証制度を設けています。万が一の破損や不具合に対して、一定期間内であれば再治療や修理などの対応が可能です。治療後の定期的なメンテナンスも含めて、患者さんのお口の健康を長期的にサポートできる体制を整えていますので安心して治療に臨むことができます。
骨が足りない場合
GBR
インプラントを支える骨が不足している場合に、人工の膜(メンブレン)を使って骨の再生を促す治療法です。歯槽骨の幅や高さが足りない部分に骨補填材を入れ、骨の成長を待ってからインプラントを埋入します。見た目や機能の安定性を高めるために重要な処置です。
ソケットリフト
上顎の骨の高さがやや不足している場合に行う骨造成法です。上顎洞の粘膜を押し上げて、空いたスペースに骨補填材を入れることで、インプラントを支える骨の高さを確保します。身体への負担が比較的少なく、同時にインプラント埋入が可能なケースもあります。
サイナスリフト
上顎の骨が大きく不足しているケースに行う、骨造成のための外科的処置です。上顎洞の側面からアプローチし、粘膜をリフトアップして骨補填材を填入します。インプラントの埋入が困難だった部位にも対応可能となる、高度な骨造成法です。
複数の歯を失ったかたへ
しっかり噛めてズレにくい
インプラントを活用した入れ歯治療
「入れ歯が安定せず噛みにくい」「外れやすい」といったお悩みを抱えるかたに向けて、当院ではインプラントオーバーデンチャーをご提案しています。顎の骨に埋め込んだインプラントを支えにして、入れ歯を安定させる治療法で、見た目や噛む力の回復に加え、取り外し式のためお手入れもしやすいのが特徴です。総入れ歯が合わないかたや、しっかり噛める入れ歯を希望されるかたに適しています。
他の治療との比較
| 種類 |
インプラント |
ブリッジ |
入れ歯 |
|---|---|---|---|
![]() |
![]() |
![]() |
|
| 違和感の有無 |
◎自分の歯と |
〇違和感は少ない |
×異物感があり、 |
| 審美性の高さ |
◎天然歯に近く自然 |
〇材料によって |
△材料によっては金属の |
| 周りの歯への影響 |
◎影響なし |
×健康な両隣の歯を削る |
△バネをかける歯に |
| 治療期間の長さ |
△長い |
◎短い |
◎短い |
| 耐久性の強さ |
◎10年以上 |
〇7~8年程度 |
△4~5年程度 |
| 外科処置の有無 |
△必要 |
◎不要 |
◎不要 |
咬合力の違い
歯の欠損を補う際、どの治療法を選ぶかによって、将来的なお口全体の健康状態は大きく左右されます。
入れ歯は、装着時に不安定になりやすく、咀嚼のたびに隣接する歯や粘膜へ物理的な負荷がかかるという課題があります。またブリッジは、固定式であるため安定した咀嚼が可能ですが、土台となる歯を大幅に切削する必要があり、過重な負担によって周囲の歯にダメージを与えやすいという側面を持っています。これらの方法と比較して、インプラントは「周囲の歯を一切削らず、負担も分散させない」という点で非常に優れた治療法です。外科手術を伴うものの、独立した構造を持つため、他の歯の健康を損なうリスクを抑えられます。術後のメインテナンスを継続することで、天然歯に近い機能性と審美性を長期にわたって享受することが可能です。
治療の流れ
インプラント相談
治療に関する疑問や不安を解消していただくためのカウンセリングを実施しています。インプラントの概要や治療の流れ、費用、治療期間などについて丁寧にご説明し、患者さんのご希望やお悩みをしっかりお聞きします。無理なご提案はいたしませんので、ご安心ください。
精密検査・診断
インプラント治療が適応可能かを判断するために、歯科用CTなどを使用して精密な検査を行います。顎の骨の状態や神経の位置などを詳細に把握し、安全性と成功率を高めるための正確な診断を行います。
治療計画の説明
検査結果をもとに、患者さん一人ひとりに合わせた治療計画をご提案します。使用するインプラントの種類や手術の方法、スケジュール、費用などを丁寧にご説明し、ご納得いただいたうえで治療を開始します。
手術
顎の骨にインプラント体(人工歯根)を埋め込む外科手術を行います。局所麻酔や静脈内鎮静法で処置を行うため、術中の痛みはほとんどありません。手術後は、インプラントが骨としっかり結合するまで、数ヵ月の治癒期間を設けます。
上部構造の作製・装着
歯科技工士と連携し、噛み合わせや見た目に配慮した人工の歯(上部構造)を作製します。色や形を自然に仕上げた後、インプラントに装着して治療はほぼ完了です。しっかり噛める快適な口元を目指します。
治療終了・メンテナンス
インプラントを長く快適に使っていただくためには、治療後のメンテナンスが欠かせません。定期的な検診やクリーニングを通じて、インプラントと周囲の歯ぐきを健康に保つサポートを継続して行います。
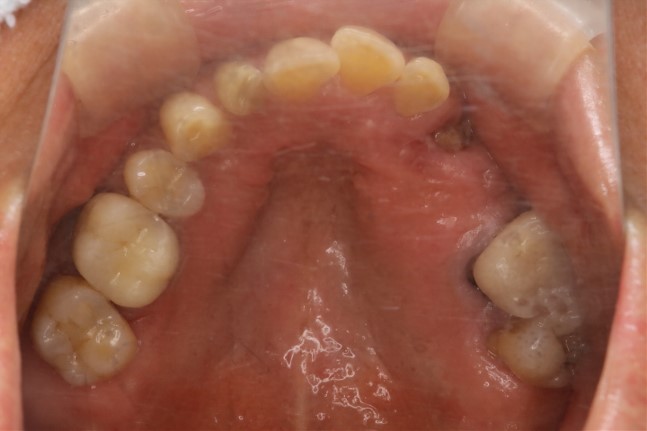
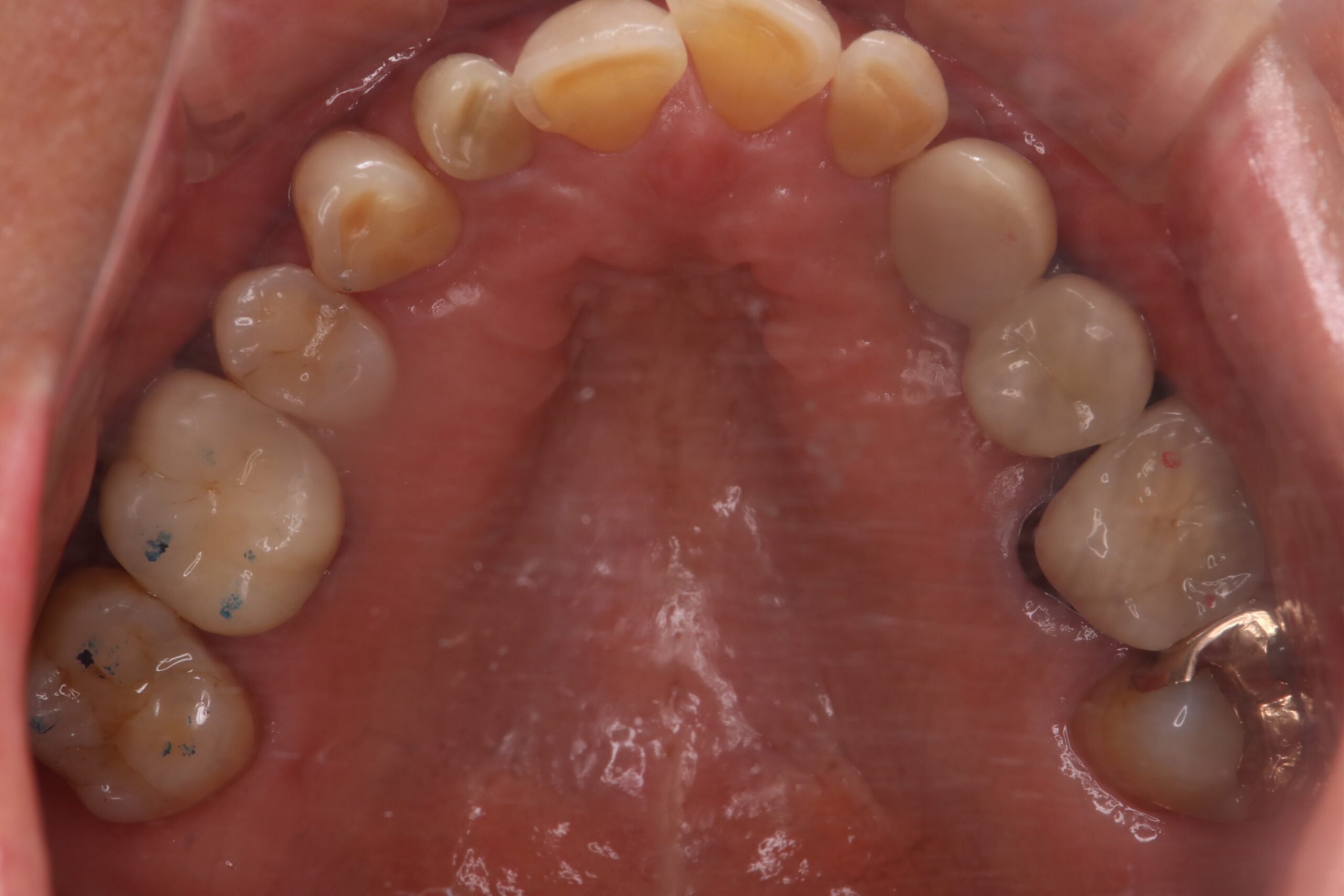
症例
費用
料金表
| 種類 | 写真 | 費用 | 保証期間 |
|---|---|---|---|
| 精密検査 | ![]() |
16,500円 | – |
| インプラント体 | ![]() |
363,000円 | 10年 |
| 上部構造 | ![]() |
173,800円 | 10年 |
| 骨造成 | ![]() |
13,200円 | – |
| ソケットリフト | ![]() |
88,000円 | – |
| サイナスリフト (上顎洞挙上手術) |
![]() |
220,000円 | – |
| 静脈内鎮静法 | ![]() |
99,000円 | – |
※表示金額は全て税込みです。
医療費控除について
1年間(1月1日~12月31日)に10万円以上の医療費を支払った場合は、医療費控除によって一定の金額の所得控除を受けることができます。ご自身の支払いに限らず、生計を共にするご家族が支払った医療費も対象となります。詳しくは国税庁のホームページをご覧ください。
注意点・リスク・副作用
・骨が成長途中であるお子さん(およそ18歳未満のかた)は、インプラント治療ができない可能性があります。
・インプラント治療では、痛み止めや抗生物質等を使用するため、妊娠中のかた、妊娠の可能性のあるかた、授乳中のかたは、インプラント治療を控えてください。
・心疾患、骨粗しょう症など内科的な疾患のあるかたは、インプラント治療に適さない場合があります。
・歯周病の発生リスクが高いとされる糖尿病のかた、口腔内の衛生状態の悪いかた、顎の骨が足りないかた、喫煙者のかたは、インプラント治療がすぐに行えず、事前に生活習慣の改善が必要となる場合があります。
・インプラント治療は、インプラントが骨に接着するまでに約3ヵ月~6ヵ月の治癒期間を要します。また、インプラントを埋め込む骨の厚みを増やす手術を行う場合は、さらに治療期間がかかります。
・上顎にインプラントを埋入する際に上顎洞を破る可能性があります。
・手術した時に感染が生じると蓄膿症になる場合があります。
・手術直後は、腫れや痛み、違和感、出血などが発生する場合がありますが、大体2~3日で治まります。
・口腔内の衛生状態が悪いかた、歯ぎしり、くいしばりの強いかたはインプラント周囲炎を引き起こす可能性があります。









